У США хірурги вперше провели операцію плоду в утробі матері та вилікували серйозну ваду розвитку головного мозку дитини.
Хірурги з Бостонської дитячої лікарні та Жіночої лікарні Брігама в США застосували хірургічну техніку під назвою “емболізація” для лікування рідкісної вади, повідомляє Science Alert, передає Українська правда.
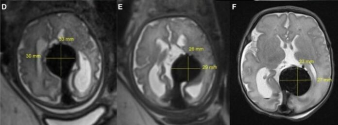
Ненароджений малюк мав судинну аномалію – ваду розвитку вени Галена, однієї з великих кровоносних судин черепа, що загрожує смертельними ускладненнями після народження дитини.
Завдяки унікальній процедурі малюк народився передчасно, але у нього не було ускладнень.
“Ми раді повідомити, що у віці шести тижнів дитина розвивається напрочуд добре, не приймає жодних ліків, нормально харчується, набирає вагу і вже повернулася додому. Немає жодних ознак негативного впливу на мозок”, – каже Даррен Орбах, нейроінтервенційний радіолог з Бостонської дитячої лікарні та Гарвардської медичної школи.
Мальформація вени Галена зустрічається приблизно у 1 з 60 тисяч немовлят – це рідкісний тип судинної аномалії головного мозку, при якій артерії з’єднуються безпосередньо з венами, а не з капілярами, які мали б контролювати потік крові.
Потік крові у вені занадто швидкий – захворювання створює значне навантаження на серцево-судинну систему, що може призвести до серцевої недостатності.
Також це може спричинити гіпертензію в артеріях легень і серця, а через додатковий тиск у головному мозку – значне пошкодження мозку, неврологічні та когнітивні порушення і навіть смерть.
Читайте також: У рф відмовились від атак на Бахмут: готуються до контрнаступу ЗСУ, – ISW
Наразі Даррен Орбах і його колеги проводять клінічне дослідження, щоб оцінити можливість лікування цього стану до народження.
“Першим пацієнтом” став плід на 34-му тижні вагітності жінки – вони використовували ультразвук для проведення процедури емболізації.
Процедура призвела до передчасного розриву плодових оболонок у матці, однак, коли дитина з’явилася на світ, її серцево-судинна система працювала нормально.
Оскільки пологи були передчасними, дитині довелося кілька тижнів перебувати у відділенні інтенсивної терапії новонароджених, протягом яких лікарі продовжували спостерігати за станом її мозку. Однак малюк не потребував додаткової підтримки чи хірургічного втручання.
Медики не побачили жодних ознак неврологічних порушень, накопичення рідини або кровотечі, тож матір з немовлям виписали і відправили додому.
“Оскільки це перший пацієнт у поточному клінічному дослідженні, метод ще не готовий до широкого застосування. Одного успішного випадку недостатньо, щоб встановити закономірність успіху.
Майбутні випадки лікування можуть протікати не так гладко; чи переважають плюси над ризиками процедури, ще належить з’ясувати”, – кажуть лікарі.




























Відео